ホワイトニングについて
ホワイトニングは1989年にアメリカで実用化された技術で、歯の表面に付着した色素のみを落とすのでなく、歯自体を白くしていくものです。歯を削らず、また表面も傷つけることなく、歯の中の色素を分解して歯の明るさを上げて白くしていきます。
千早デンタルクリニック調布がおこなうホワイトニングは、院内で行う「オフィスホワイトニング」と、ご自宅で行う「ホームホワイトニング」をご用意しております。また、ご希望の白さによっては、クリニック内でオフィスホワイトニング、ご自宅でホームホワイトニングと組み合わせた「デュアルホワイトニング」をおこないます。
あなたにとってベストなホワイトニングをご提供いたしますので、ご興味ある方はスタッフまでお気軽にご相談ください。
ホワイトニングコーディネーターによるワンランク上の施術

当院でのホワイトニングは、ホワイトニングコーディネーターの資格を持つ、有資格者の歯科衛生士が行います。
高い知識と技術にて、ワンランク上のホワイトニング施術を行いますので、例えば「昔おこなったホワイトニング効果が薄れ色戻りしてきた」「他院でホワイトニングを行ったが白い歯にならなかった」など、ホワイトニングに関してのお悩みをお持ちの方、どうぞご安心してご相談ください。
オフィスホワイトニング
オフィスホワイトニング(beyond POLUS)

当院で使用するオフィスホワイトニングは、最新機器の「ビヨンド・ポーラス・アドバンス(Beyond Polus Advance)」を導入しています。このビヨンド・ポーラス・アドバンスは、従来の機器と比べると、出力調整により疼痛の軽減が可能となり、快適に受けていただけます。
ホワイトニングは「過酸化水素」という薬剤を使用して、歯の内面の着色物質を分解し白くします。
ビヨンド・ポーラス・アドバンスは過酸化水素に「特殊光」を利用することにより、短時間で高いホワイトニング効果を発揮します。
また当院では、このビヨンド・ポーラス・アドバンスにホームホワイトニングを合せる「デュアルホワイトニング」もご用意しておりますので、芸能人のような・・・等のご要望に合せた歯の白さを得ることが可能です。
ホワイトニングのアフターケア
ホワイトニング後の24時間は控えるもの
歯の表面を覆っている被膜は、ホワイトニングで除去されますが、12時間~24時間かけて再生されます。再生するまでは色の濃い食べ物、飲み物、喫煙は控えてください。
ホワイトニング後の24時間以内に口にして良いもの
色の薄いものや白いものは、摂取しても問題ありません。
ただし、マヨネーズやレモンなどの酸性のものは避けて下さい。
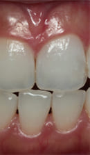
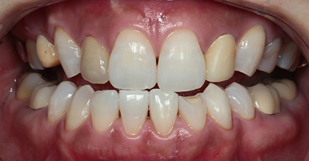
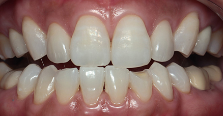
黒ずんだ歯の中からのホワイトニング
-

Before
-

After
神経がダメになってしまった歯は、黒ずんでしまうことが多く、元に戻ることはありません。
このような歯の治療法として、インターナルブリーチ(ウォーキングブリーチ)があります。
インターナルブリーチは、神経がなく黒く変色した失活歯の歯の中から行うホワイトニングです。
また神経を取ると歯だけではなく、歯ぐきの根元も黒ずんできます。この歯茎の黒ずみにも有効的です
ホワイトニングのリスクと副作用
- 個人差により、ご希望の白さにならない場合がある
- 施術後に獲得した白さは後戻りをすることがある
- 稀に歯がしみる等の知覚過敏症状が起こる場合がある
- 術後、稀に痛みは出る可能性がある
- 施術から24時間は、喫煙・お茶・コーヒー・ワイン・カレーなど色の付きやすい食べ物や飲み物・嗜好品は控えて下さい
- 知覚過敏が重度な方はホワイトニングが出来ない場合がある
- 生まれつき歯がくすみ・黄ばみのある方は、漂白効果が出ないことがある
- 神経を取った歯または神経が死んで変色した歯、重度のテトラサイクリンによる歯の黄ばみ、くすみ・暗さの方は効果が出ない
- 施術後、稀に白さが「まだら」になることががある
- 虫歯、歯周病など病変のある方はすぐにホワイトニングができないことがある
ホワイトニングの流れ
-
STEP 1
- ホワイトニングに関しての説明とカウンセリング
- ホワイトニングに対しての説明およびカウンセリングを行います。
-
STEP 2
- お口の状態の確認
-
治療と同じようにお口の状態を確認します。また、術前の状態を写真に残しておきます。
- 歯の健康状態に問題がなかった場合に次のステップに進みます。
- 異常がある場合には必要な処置後に次のステップに進みます。
-
STEP 3
- 歯の色を測定
- 今の歯の色を測定し、明るくなった歯の色のイメージをご覧頂きます。
-
STEP 4
- 口腔内のクリーニング
- 着色や汚れの付着の状態を確認し、必要に応じて初めにお口のクリーニングを行います。 PMTCという歯のクリーニングやスケーリングという歯石の除去が必要になる場合もあります。
-
STEP 5
- お口を固定しホワイトニングジェルを塗布
- お口を開けたままで固定する開口器を付け、歯茎および唇を保護してから、歯の表面にホワイトニングジェルを塗布します。
-
STEP 6
- 光を照射
- 目を保護する特別なサングラスを付け、光照射を行います。照射時間はコースによって違います。
-
STEP 7
- フッ素の塗布
- うがいの後、歯のコンディションを整え、フッ素を塗布します。
-
STEP 8
- アフターメンテナンスの説明
- 最後に、アフターメンテナンスの説明を受けたら終了です。およそ1時間で、約2段階~8段階、歯の白さがアップします。
オフィスホワイトニングのケース
オフィスホワイトニング[1]
(オフィスホワイトニング)+(ホームホワイトニング)を組み合わせたデュアルホワイトニング
-

Before
-

After
-
- 主訴
- ホワイトニングをしたい
-
- 治療期間
- 約2週間
-
- 治療費用
-
-
- ホワイトニング
- ¥88,000(税込)
-
-
- 治療内容
- 短期間でホワイトニングの効果を最大限に出すためにクリニックに2回通院して頂いてオフィスホワイトニング、その間にご自宅でマウスピースを用いたホームホワイトニングを併行して行なった。
未使用のホームホワイトニング用の薬剤は白くなった歯の色を維持するためのメインテナンス用として使用出来る。
普段から知覚過敏が強い場合、ホワイトニング後に一時的に症状が強くなる可能性があるが、すぐに消退する。
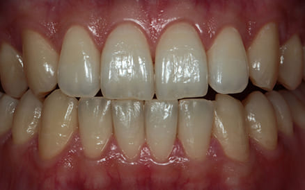
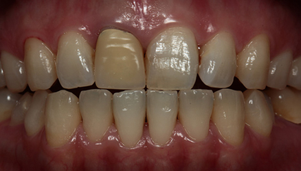
オフィスホワイトニング[2]
(左上1番のインターナルブリーチ)歯の外と中のホワイトニング+(全顎デュアルホワイトニング)
-

Before
-

After
-
- 主訴
- 全体的に歯の色を白くしたい。特に神経を抜いて変色した前歯が気になる
-
- 治療期間
- 約5週間
-
- 治療費用
-
-
- ホワイトニング
- ¥88,000(税込)
-
- + インターナルブリーチ
- ¥3,300 × 5(税込)
-
-
- 治療内容
- 左上1番の神経を抜いた歯は経年的に変色してしまうため歯の内部からブリーチを行う。それと同時に短期間でホワイトニングの効果を最大限に出すためにクリニックに2回通院して頂いてオフィスホワイトニング、その間にご自宅でマウスピースを用いたホームホワイトニングを併行して行なった。
神経を抜いた歯は変色の原因とホワイトニングの方法が異なるため、周囲の歯との色調のバランスをとるのが難しくなる。
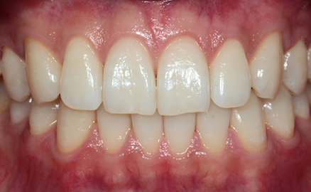
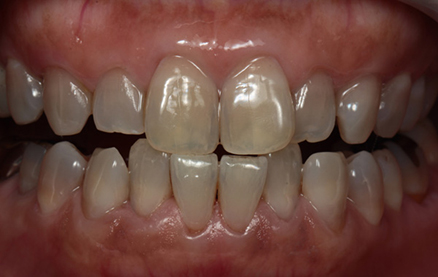
オフィスホワイトニング[3]
(右上1番のジルコニア)+(全顎デュアルホワイトニング)歯のホワイトニング
-

Before
-

After
-
- 主訴
- ホワイトニングをするのに合わせて被せ物も自然の歯のように綺麗にして欲しい
-
- 治療期間
- 約8週間
-
- 治療費用
-
-
- ホワイトニング
- ¥88,000(税込)
-
- + ジルコニアクラウン
- ¥181,500(税込)
-
- + 技工士指名料
- ¥24,200(税込)
-
-
- 治療内容
- 右上1番の見た目が気になるとのことであったので、まず初めに古いクラウンを除去して綺麗な仮歯に交換した。その後、短期間でホワイトニングの効果を最大限に出すためにクリニックに2回通院して頂いてオフィスホワイトニング、その間にご自宅でマウスピースを用いたホームホワイトニングを併行して行なった。
理想的な白さになった後、それに合わせてジルコニアクラウンを製作した。ホワイトニングした天然歯は徐々にではあるが元の色に戻っていくため、未使用のホームホワイトニング用の薬剤を使用して頂いて歯の色を維持し、ジルコニアクラウンとの色の差が目立たないようにメインテナンスをしていく必要がある。
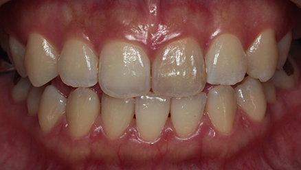
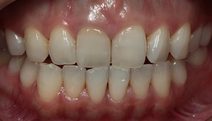
オフィスホワイトニング[4]
(オフィスホワイトニング)+(ホームホワイトニング)を組み合わせたデュアルホワイトニング
-

Before
-

After
-
- 主訴
- 以前ホワイトニングをしたが、あまり白くならなかった
-
- 治療期間
- 約2週間
-
- 治療費用
-
-
- ホワイトニング
- ¥88,000(税込)
-
-
- 治療内容
- 短期間でホワイトニングの効果を最大限に出すためにクリニックに2回通院して頂いてオフィスホワイトニング、その間にご自宅でマウスピースを用いたホームホワイトニングを併行して行なった。
未使用のホームホワイトニング用の薬剤は白くなった歯の色を維持するためのメインテナンス用として使用出来る。
ホワイトニングは使用法や使用薬剤によって効果が異なるため、ホワイトニングコーディネーターの資格を持つ当院のスタッフの指導のもと適切に行なって頂くことが重要になってくる。
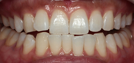
オフィスホワイトニング[5]
(オフィスホワイトニング)+(ホームホワイトニング)を組み合わせたデュアルホワイトニング
-

Before
-

After
-
- 主訴
- 永久歯が萌えてきた時から歯が変色していた。少しでも白い歯に近づけたい
-
- 治療期間
- 約3週間
-
- 治療費用
-
-
- ホワイトニング
- ¥115,500(税込)
-
-
- 治療内容
- 歯の形成期に抗生剤の服用が原因で変色が見られる事がある。これらはテトラサイクリン変色と呼ばれ度合いによりFeimman第1度〜第4度に分類される。デュアルホワイトニングでも完全に変色がなくなるようにするのは難しいが、通常よりも
費用がかかるがオフィスホワイトニングの回数を増やすのとホームホワイトニングの期間を長くすることによって色調を改善することが出来る。
今回はオフィスホワイトニング×3 ホームホワイトニング×3週間行なった。
オフィスホワイトニング料金
| オフィスホワイトニング (beyond POLUS) |
2回 | 55,000円(税込) |
|---|---|---|
| 追加1回毎 | 27,500円(税込) | |
| デュアルホワイトニング | オフィス2回 +ホーム |
88,000円(税込) |
ホームホワイトニング

自宅でマウスピースのようなものにホワイトニング剤を注入し、毎日一定時間行うことで歯を白くする方法です。
利点として、知覚過敏が起こりにくく色の後戻りも若干遅いと言われています。
ホワイトニング効果を持続させたい。芸能人のようにいつでも白く輝く歯で過ごしたい方は、このホームホワイトニングとオフィスホワイトニングの両方取り入れたデュアルホワイトニングもおススメします。
ホームホワイトニングのケース
ナイトホワイトエクセル[1]
-

Before
-

After
-
- 主訴
- 歯の色を白くしたい
-
- 治療期間
- 約4週間
-
- 治療費用
-
-
- ホームホワイトニング
- ¥44,000(税込)
-
-
- 治療内容
- ホームホワイトニング用のマウスピースを作製後、御自宅など装着出来る時間帯に使用してもらう。
御自身のタイミングで使用して頂けるので、ホワイトニング期間中の通院の必要が無くて済むが、デュアルホワイトニングに比べて効果が出にくくその分期間もかかる。
ナイトホワイトエクセル[2]
-

Before
-

After
-
- 主訴
- 歯の色を白くしたい
-
- 治療期間
- 約6週間
-
- 治療費用
-
-
- ホームホワイトニング
- ¥44,000(税込)
-
-
- 治療内容
- ホームホワイトニング用のマウスピースを作製後、御自宅など装着出来る時間帯に使用してもらう。
御自身のタイミングで使用して頂けるので、ホワイトニング期間中の通院の必要が無くて済むが、デュアルホワイトニングに比べて効果が出にくくその分期間もかかる。
ホワイトニング用の薬剤を使い切ってしまった場合には、別途購入して頂いて引き続きホームホワイトニングが出来る。
ナイトホワイトエクセル[3]
+ 左右上顎2番ジルコニアクラウン
-

Before
-

After
-
- 主訴
- 被せ物の色が気になる。全体的に歯の色を白くしてから綺麗に治して欲しい
-
- 治療期間
- 約8週間
-
- 治療費用
-
-
- ホームホワイトニング
- ¥44,000(税込)
-
- + ジルコニアクラウン
- ¥181,500 × 2(税込)
-
- + 技工士指名料
- ¥24,200 × 2(税込)
-
-
- 治療内容
- ホームホワイトニング用のマウスピースを作製後、御自宅など装着出来る時間帯に使用してもらう。
デュアルホワイトニングに比べて期間が掛かるため、今回は4週間を要した。
その後、左右上顎2番のジルコニアクラウンを新製した。
ホワイトニング後の歯は自然感がある白さになるため、その色調に合わせて天然歯のようなクラウンを作製するには、担当する歯科技工士の技術によって変わってくる。
ホームホワイトニング料金
| ホームホワイトニング | 1セット | 44,000円(税込) |
|---|

執筆・監修者千早洋嗣院長
敬意と理解の心で、
あなたの声に耳を傾けます
当院では「何を求めているのか」「何に困っているのか」を丁寧にお聞きし、患者様お一人おひとりに寄り添った治療を心がけています。
安心して「また来たい」と思っていただけるよう、敬意と優しさを忘れずに、お口の健康をサポートいたします。










