舌側矯正・裏側矯正
「歯並びをきれいにしたいけれど、矯正装置が見えるのは困る…」そうお考えの方へ。舌側矯正(裏側矯正)は、歯の裏側に装置を装着するため、周囲に気づかれることなく歯列矯正が可能です。見た目を気にせず矯正に取り組めるため、接客業など、人前で活躍する機会の多い方々に特におすすめです。
舌側矯正は高度な専門技術を要するため、対応できる歯科医院は限られています。しかし、当院には豊富な経験を持つドクターが在籍しており、患者様一人ひとりに寄り添った丁寧な治療をご提供いたします。
舌側矯正の
メリット・デメリット
舌側矯正リンガル治療は、表側からの矯正と比較して利点もあれば欠点もあります。ここではそんな舌側矯正リンガル治療のメリットやデメリットを紹介します。
舌側矯正のメリット
- 裏側に装置を装着するので、目立たずに矯正治療ができます。
- 矯正治療中に虫歯になりにくい。
- 前歯が引っ込みやすくなります。
- 舌癖防止になり、矯正後の後戻りのリスクが減ります。
舌側矯正のデメリット
- 装置が舌に触れるため、違和感を感じ、発音がしづらくなる。
- 装置が舌に触れる違和感を感じる人もいます。
- 歯磨きがしづらい。
- 表側の矯正の装置より費用が高い。
歯列矯正治療ケース
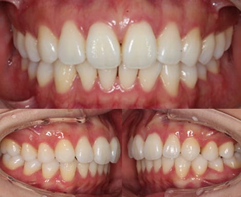
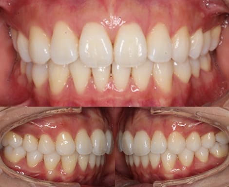
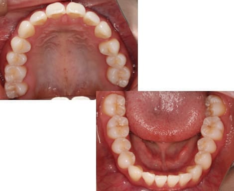
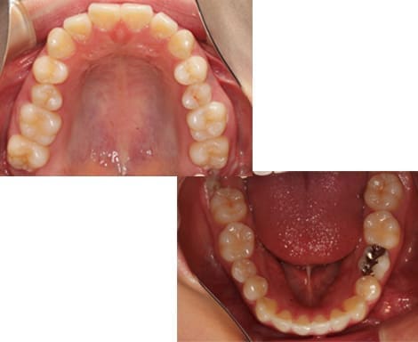
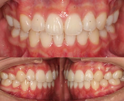
舌側矯正・裏側矯正[抜歯矯正]
-
![舌側矯正・裏側矯正[抜歯矯正]正面左右術前](images/ortho_case01-01be.jpg)
Before 正面左右
-
![舌側矯正・裏側矯正[抜歯矯正]正面左右術後](images/ortho_case01-01af.jpg)
After 正面左右
-
![舌側矯正・裏側矯正[抜歯矯正]咬合面術前](images/ortho_case01-02be.jpg)
Before 咬合面
-
![舌側矯正・裏側矯正[抜歯矯正]咬合面術後](images/ortho_case01-02af.jpg)
After 咬合面
-
![舌側矯正・裏側矯正[抜歯矯正]顔貌術前](images/ortho_case01-03be.jpg)
Before 顔貌
-
![舌側矯正・裏側矯正[抜歯矯正]顔貌術後](images/ortho_case01-03af.jpg)
After 顔貌
-
- 治療内容
- 舌側矯正・裏側矯正(抜歯矯正)
-
- 治療期間
- 約16ヶ月
-
- 治療費用
- ¥1,320,000(税込)
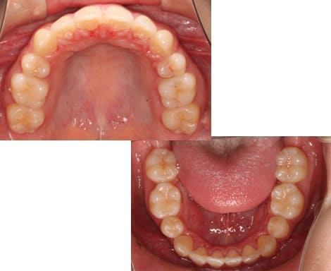
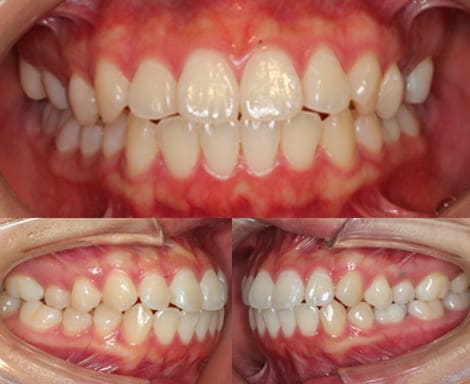
舌側矯正・裏側矯正[非抜歯矯正]
-
![舌側矯正・裏側矯正[非抜歯矯正]正面左右術前](images/ortho_case02-01be.jpg)
Before 正面左右
-
![舌側矯正・裏側矯正[非抜歯矯正]正面左右術後](images/ortho_case02-01af.jpg)
After 正面左右
-
![舌側矯正・裏側矯正[非抜歯矯正]咬合面術前](images/ortho_case02-02be.jpg)
Before 咬合面
-
![舌側矯正・裏側矯正[非抜歯矯正]咬合面術後](images/ortho_case02-02af.jpg)
After 咬合面
-
![舌側矯正・裏側矯正[非抜歯矯正]顔貌術前](images/ortho_case02-03be.jpg)
Before 顔貌
-
![舌側矯正・裏側矯正[非抜歯矯正]顔貌術後](images/ortho_case02-03af.jpg)
After 顔貌
-
- 治療内容
- 舌側矯正・裏側矯正(非抜歯矯正)
-
- 治療期間
- 約17ヶ月
-
- 治療費用
- ¥1,320,000(税込)
関連料金表
表示金額はすべて税込価格となります。
| 初診相談 | |
|---|---|
| 相談費用 | 3,300円 |
| 精密検査・診断料 | |
|---|---|
| 検査費用 | 55,000円 |
| 調整・管理料 | |
|---|---|
| 診療毎 | 5,500円 |
| クリーニング | |
|---|---|
| PMTC | 5,500円 |
| 成人矯正 | |
|---|---|
| 裏側矯正 (舌側矯正) |
1,320,000円 |
| 部分矯正 (1本から) |
110,000~660,000円 |

執筆・監修者千早洋嗣院長
敬意と理解の心で、
あなたの声に耳を傾けます
当院では「何を求めているのか」「何に困っているのか」を丁寧にお聞きし、患者様お一人おひとりに寄り添った治療を心がけています。
安心して「また来たい」と思っていただけるよう、敬意と優しさを忘れずに、お口の健康をサポートいたします。





