見た目が綺麗で身体に優しい
理想の素材の
オールセラミッククラウン
オールセラミッククラウンは、自然な光を透過する優れた美しさだけでなく、硬すぎて他の歯を傷つけることもない、強さとしなやかさまでも兼ね備えた理想的な材料です。金属を一切使わないため、金属アレルギーの方にも安心してご利用いただけるという優れたメリットもあります。
また、歯肉との適合も良いため、被せ物周辺の歯肉の健康も維持できます。
従来の素材と
オールセラミックの違い
オールセラミックは、天然の鉱石を利用しており、従来素材の欠点を補い、金属を使わないという大きな特長をもって注目されています。
オールセラミッククラウン

口腔内のすべての歯に適用できる方法です。土台となる歯の外側に人工歯としてすっぽりかぶせるタイプです。セラミックのみで作られているので金属アレルギーの方に有効です。インプラントとの併用で天然歯とほとんど見分けがつかない仕上がりが期待できます。
| 素材 | メリット | デメリット | 保険適応 |
|---|---|---|---|
| オールセラミック |
|
|
× |
ジルコニアクラウン

ジルコニア(酸化ジルコニウム)は、軽く、とても丈夫なセラミックです。耐久性もあることから、スペースシャトルの外壁にも使用されています。また、歯科で使用されるジルコニアはダイアモンド類似石としても用いられるジルコン人造ダイアモンドと同じ元素なので、歯科素材の中でも一番の高い強さと美しさを持つ素材です。
| 素材 | メリット | デメリット | 保険適応 |
|---|---|---|---|
| ジルコニア |
|
|
× |
金属・銀歯の被せ物

歯医者さんに行くと皆様がもっともよくみる金属の歯が銀歯です。保険治療が適応できるというメリットがありますが、審美性が優れておらず、歯肉が黒ずみやすく、金属アレルギーのリスクがあります。健康面や審美面からみても他の素材に劣ります。
| 素材 | メリット | デメリット | 保険適応 |
|---|---|---|---|
| 金属 |
|
|
〇 |
メタルボンドクラウン

白い被せ物を作るときにも、ポーセレンを金属の枠組みに焼き付けて作る陶材焼付け冠(メタルボンドクラウン)という冠が長い間使用されてきています。この冠が従来、審美修復の王道であったと言えます。しかし、金属の裏打ちをした冠は経年的に金属が露出して歯肉との境目が黒く見えたり、自然な歯の輝きが思うように出ないなどの欠点もあります。
| 素材 | メリット | デメリット | 保険適応 |
|---|---|---|---|
| メタルボンド |
|
|
× |
透明感がアップし、よりキレイな白い歯になるファイバーコア

虫歯などで神経を取ってしまった歯は、歯を支えるために土台を作ります。
従来では金属の土台(メタルコア)が用いられてきましたが、生体親和性の高いファイバーコアを用いることによって、金属アレルギーや電気の発生を防ぐことができます。
また金属の色が透けては困る前歯の修復にも透明感がある白さを出せるので適しており、歯根が割れてしまうのを防ぐのにも有効です。
セラミッククラウンのリスクと副作用
- 個人差により、ごく稀に欠けたり壊れる可能性がある
- 事前に神経の処置(根管治療)や土台(コア)の処置が必要となることがある
- 治療中に一時的な咬合痛や冷温水痛、若干の歯肉の腫れ、発赤などを生じることがある
- 仮歯の時期には仮歯の脱離や破損の可能性、舌感などに違和感を感じることがある
セラミッククラウンのケース
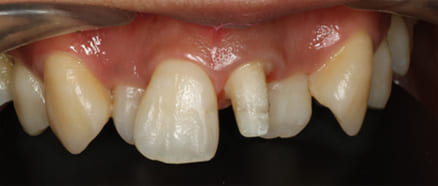
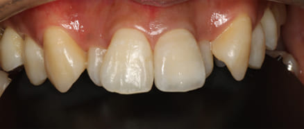
セラミッククラウン[1]
(前歯左1番セラミッククラウン)
-

Before
-

After
-
- 主訴
- 前歯を綺麗にしたい
-
- 治療法
- ファイバーコアによる支台築造を行いセラミッククラウンにて治療
-
- 治療期間
- 約4週間
-
- 治療費用
-
-
- ファイバーコア
- ¥24,200(税込)
-
- オールセラミッククラウン
- ¥145,200(税込)
-
-
- 治療内容
- 元々入っていた保険適用のプラスチック製の被せ物が変色してきたため審美回復を希望された方です。
土台も金属製でそれも審美性を損なう一因のため、除去してファイバーコアに置き換えさらに金属のフレームを用いないオールセラミッククラウンにて補綴を行った。
土台を除去する時に歯を削るため、残っている歯の量が少ない場合には強度の問題を考慮しなければならないケースもありますが、今回はその懸念もなかったため土台から新製して金属を全く使用しない材料にて治療を行い、審美的な結果が得られた。
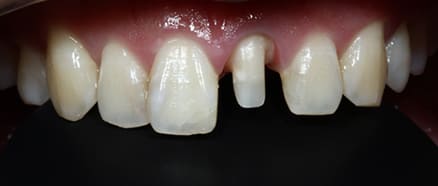
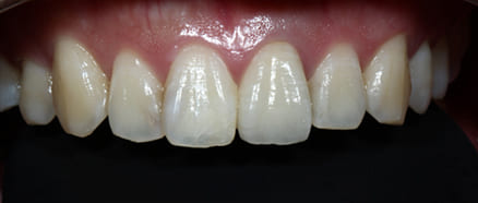
セラミッククラウン[2]
(前歯左1番セラミッククラウン)
-

Before
-

After
-
- 主訴
- 前歯をぶつけて欠けた。綺麗に治して欲しい。
-
- 治療法
- 根管治療後にファイバーコアによる支台築造を行いセラミッククラウンにて治療
-
- 治療期間
- 約4週間
-
- 治療費用
-
-
- ファイバーコア
- ¥24,200(税込)
-
- オールセラミッククラウン
- ¥145,200(税込)
-
-
- 治療内容
- 歯の破折が神経にまで及んでいたため根管治療を行った後、ファイバーコアにて補強を行いオールセラミッククラウンにて補綴を行った。
神経を抜く事は歯の予後を左右するため本来なら避けたいところだが、今回は外傷により完全に神経が露出し痛みもあったためやむ終えずそこからのスタートとなった。
また患者様は被せてある事が分からないように自然の歯と同じ様にとのご希望だったため、金属材料を使用せずに天然歯のように光透過性を再現できるマテリアルを選択した。
セラミッククラウン[3]
(前歯右1番セラミッククラウン)
画面上は左側
-

Before
-

After
-
- 主訴
- 右の前歯をセラミックで綺麗にして欲しい。
-
- 治療法
- セラミッククラウンにて治療
-
- 治療期間
- 約4週間
-
- 治療費用
-
-
- オールセラミッククラウン
- ¥145,200(税込)
-
-
- 治療内容
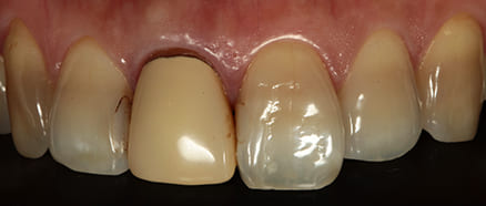
- 右上1番には保険適用のクラウンが被せてあったが、材料の経年変化による変色と歯肉退縮により歯茎との境目が黒くなっていた。
クラウンを除去後、境目が見えないように歯の土台の形態を修正した後にセラミッククラウンを装着し審美性の改善を行なった。
今後の更なる歯肉退縮を予防するため、適切なブラッシングによるケアが必要である。
関連料金表
| ジルコニア | 1本 | 181,500円(税込) |
|---|---|---|
| オールセラミック | 1本 | 145,200円(税込) |
| メタルボンド | 1本 | 110,000円(税込) |
| ハイブリッドセラミック | 1本 | 88,000円(税込) |
| ゴールド | 1本 | 88,000円(税込) |
| ファイバーコア | 1本 | 24,200円(税込) |

執筆・監修者千早洋嗣院長
敬意と理解の心で、
あなたの声に耳を傾けます
当院では「何を求めているのか」「何に困っているのか」を丁寧にお聞きし、患者様お一人おひとりに寄り添った治療を心がけています。
安心して「また来たい」と思っていただけるよう、敬意と優しさを忘れずに、お口の健康をサポートいたします。










