美容歯肉移植
歯ぐきの見た目で悩んだり、
コンプレックスを感じていませんか?
皆様は「美容歯肉移植」という言葉はあまり聞き慣れないかもしれません。美容歯肉移植では、歯周病に侵された骨・歯茎・歯の形や色などを回復し、自然でより健康な歯周組織を取り戻すことができます。
美容歯肉移植の目的
- 歯周ポケットの改善をすることにより歯磨きなどをしやすくし口腔内の衛生環境を保つ
- 歯周組織の形を修復することで見た目、審美性を向上する
- 破壊された歯周組織を再生することで健康な口腔内に戻す
以上のように歯周組織の改善や再生に用いられます。また美容歯肉移植は、単に歯肉の改善や再生だけでなく審美的修復も重要です。
美容歯肉移植の
メリットとデメリット
| メリット | デメリット |
|---|---|
|
|
ガムピーリング
歯ぐきの黒ずみが気になり
笑顔に自信がない
黒ずんだ歯茎を健康的なピンク色に戻すメラニン色素除去の治療がガムピーリング(ガムブリーチ)です。
特殊な薬剤を使用し、タバコなどで黒ずんだ歯ぐきを元のピンク色の歯ぐきに戻します。
歯ぐきの色が悪くなる原因としては、歯の治療に使われている金属による金属アレルギーによりメラニン細胞が増えて悪くなる場合、差し歯が合わず炎症を起こしていたり、歯周病による血行障害などが考えられます。それらの原因を取り除いても歯ぐきの色が変わらない場合は、レーザーでメラニン細胞だけを取り除きます。
ガムピーリングのリスクと副作用
- 適応症が限られる
- ガムピーリング後、歯茎の色が白くなり2〜3日残る
- 一週間程度、熱いものや刺激物で口内炎のような痛みを感じることがある
- 歯茎の場所によってメラニン色素に差があるため、均一な仕上がりにならない場合があります。
ガムピーリングのケース
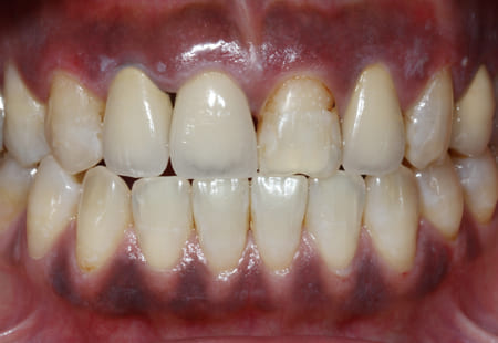
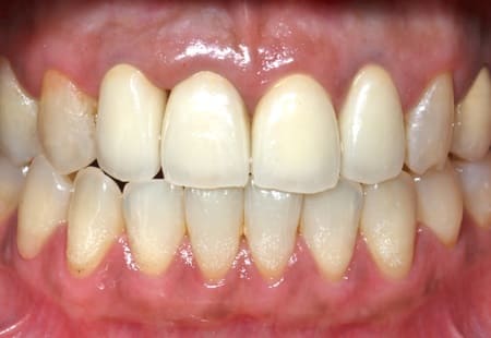
ガムピーリング[1]
(ガムピーリング)+
(前歯ジルコニアクラウン+ホワイトニング)
-
![ガムピーリング[1]術前](images/cosmetics-gum_case01be.jpg)
Before
-
![ガムピーリング[1]術後](images/cosmetics-gum_case01af.jpg)
After
-
- 主訴
- 歯茎が黒いのが気になる
-
- 治療期間
- 約3週間
-
- 治療費用
-
-
- ガムピーリング
- ¥55,000 × 3回(税込)
-
- 左上1番 ジルコニアクラウン
- ¥181,500 × 1(税込)
-
-
- 治療内容
- メラニン色素の沈着により歯肉の黒変が見られる場合、レーザー照射を何回か繰り返すことによってピーリングを行い歯肉色を改善することができる。
1回の照射時間がかかるのと効果は色素沈着の度合いによって異なってくるため複数回必要になってくる。
関連料金表
| ガムピーリング (レーザー) |
片顎 | 27,500円(税込) |
|---|---|---|
| 両顎 | 55,000円(税込) |

執筆・監修者千早洋嗣院長
敬意と理解の心で、
あなたの声に耳を傾けます
当院では「何を求めているのか」「何に困っているのか」を丁寧にお聞きし、患者様お一人おひとりに寄り添った治療を心がけています。
安心して「また来たい」と思っていただけるよう、敬意と優しさを忘れずに、お口の健康をサポートいたします。










