ブリッジの美容審美歯科治療
オベイトポンティック

歯科治療で欠損部位(歯がなくなった箇所)に対する治療法は、インプラント治療、ブリッジ治療、入れ歯治療の3つになります。
ここで取り上げるオベイトポンティックに関連するのはブリッジ治療となりますが、ブリッジ治療は欠損部の両側の歯を削り土台とし、欠損部と削った土台の歯を連結して被せ物を装着する治療法です。
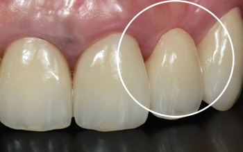
オベイトポンティックの「ポンティック」とは、このブリッジの真ん中の欠損部のところ、つまり歯が無い部分のところを指す用語になります。
次にオベイトポンティックの「オベイト」の意味ですが、「ovate」つまり「卵形」という意味のようです。ここで言う卵形とは、卵型にくぼんだという意味合いで、歯ぐきをくぼませ、歯が生えているように見せるということになります。
つまりオベイトポンティックとは、ブリッジの真ん中の歯がない部分を歯が生えているようにくぼませ、見た目を審美的に美しいブリッジにする技法になります。
くぼみが無い治療前の状態からオベイトポンティックをした後の様子
オベイトポンティックの流れ
千早デンタルクリニック調布では、ブリッジ治療においてもこのような細部にまで審美的な美しさを求め、患者様のご要望にお応えしております。
-
STEP 1
- オベイトポンティック前

-
STEP 2
- プロビジョナルでの適合調査

-
STEP 3
- 作製した使用するブリッジ

-
STEP 4
- オベイトポンティック後

また、他院でのやり直しの審美治療も多くの依頼を患者様よりいただいておりますので、「気になったら」まずはスタッフにお気軽にご相談ください。
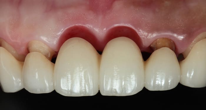
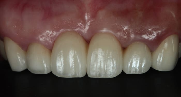
オベイトポンティックのケース
オベイトポンティック[1]
(上顎前歯左1,2,3番、右1,2,3番ジルコニアクラウン)
-

Before
-


After

執筆・監修者千早洋嗣院長
敬意と理解の心で、
あなたの声に耳を傾けます
当院では「何を求めているのか」「何に困っているのか」を丁寧にお聞きし、患者様お一人おひとりに寄り添った治療を心がけています。
安心して「また来たい」と思っていただけるよう、敬意と優しさを忘れずに、お口の健康をサポートいたします。












