e.maxとは
近年、オールセラミックスやジルコニアなどの審美補綴の注目が高まっています。
IPS e.maxは従来のオールセラミックスの素材と比べて審美性と耐久性を向上させた次世代のオールセラミックスと言われています。
e.maxと従来の
オールセラミックの強度の違い
従来のオールセラミックの補綴においては、表面の強度が100MPa前後だったため、表面のセラミックの破折の恐れがありました。
IPS e.maxでは、主成分であるニケイ酸リチウムの強度が360~400MPaと非常に強い強度と耐久性をもったセラミックです。
用途としては、インレーからラミネートベニア、アンレー、単冠、ブリッジ等に幅広く修復できることで、患者様の要望にも応えてくれるセラミックです。
| 素材 | 曲げ強度 |
|---|---|
| オールセラミック | 80~120MPa |
| e.max | 360~400MPa |
e.maxの特徴

- 歯を傷めにくい
- e.maxの成分であるニケイ酸リチウム(ガラスセラミックス)はほどよい硬さで、磨り減ったり噛み合う天然歯を傷めたりすることがありません。噛み合う天然歯の寿命を延ばし、かつ安全で快適に使用できます。
- むし歯になりにくい
- 天然歯と分子レベルで強固に接着するのがe.maxの特徴。治療箇所のすき間から汚れや細菌が入り込むことがないので、治療箇所から虫歯になることはありません。
e.maxのリスクと副作用
- 個人差により、ごく稀に欠けたり壊れる可能性がある
- 事前に神経の処置(根管治療)や土台(コア)の処置が必要となることがある
- 治療中に一時的な咬合痛や冷温水痛、若干の歯肉の腫れ、発赤などを生じることがある
- 仮歯の時期には仮歯の脱離や破損の可能性、舌感などに違和感を感じることがある
e.max(イーマックス)のケース
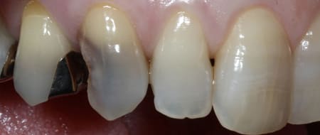
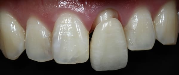
e.maxクラウン[1]
(前歯右3番e.maxクラウン)
-

Before
-

After
-
- 主訴
- 虫歯ができて色が気になる
-
- 治療期間
- 約6週間
-
- 治療費用
-
-
- e.maxクラウン
- ¥145,200(税込)
-
-
- 治療内容
- 表側から見てもかなり目立つ状態の虫歯になっていた。レントゲン審査及び虫歯除去位の結果、神経は抜かずに歯の土台になる部分を修復しクラウンを被せて審美的な結果が得られた。
e.maxクラウンは天然歯のように光透過性が高く、透明感がある歯の色調が再現できる反面、土台の色も反映されるため支台歯の色調も十分に考慮する必要がある。
周囲の天然歯と比較しても自然な仕上がりになっている。土台の歯質が少ないため、残りの部分でいかに維持力の高い形態を付与するかが、治療を成功させる上で重要になってくる。
e.maxクラウン[2]
(前歯e.maxクラウン)
-

Before
-

After
-
- 主訴
- 差し歯の見た目が気になる。自然に見えるセラミックを入れて欲しい
-
- 治療期間
- 約4週間
-
- 治療費用
-
-
- e.maxクラウン
- ¥145,200(税込)
-
-
- 治療内容
- 以前被せてあった歯は保険適用の材料であったため、それを除去してセラミッククラウンを新製した。
写真は新製時のものだが、装着後は周囲の天然歯と見分けがつかないくらい自然感のある歯が再現されているのがわかる。
保険適用の歯とは制作工程、材質など全て異なるためその分費用に反映される。
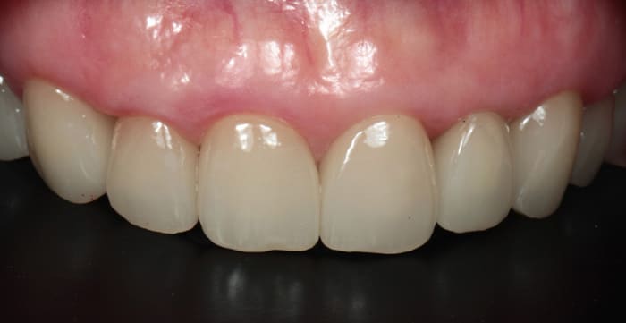
e.maxクラウン[3]
(前歯左1,2,3番から右1,2,3番e.maxクラウン)
-

Before
-

After
-
- 主訴
- 前歯の見た目が気になる。全体的にセラミックで綺麗に治療して欲しい
-
- 治療期間
- 約10週間
-
- 治療費用
-
-
- e.maxクラウン
- ¥145,200 × 6(税込)
-
-
- 治療内容
- 前歯は保険適用の材料で被せ物が入っていたのと表面を修復していたため、全体的に歯の表面性状の不具合と修復箇所の着色が認められた。またこれらの材料は表面にプラークの付着が多いため周囲の歯周組織の炎症の原因にもなっていた。
古いクラウンを除去すると同時に仮歯を装着し、必要な歯においては根菅治療と歯周組織の状態の改善を行なった。それと併行して歯の大きさや並び方、発音、口唇とのバランスなどを日常生活で仮歯を使用して頂きながら気になる箇所の微調整を行い、最終的に被せるセラミッククラウンの形態を模索した。
それを模倣した形でセラミッククラウンを作製し装着した。術前に比べ自然感に富んだ歯冠と調和の取れた健康的な歯肉を獲得することができ、審美的に十分に満足していただける結果が得られた。
e.maxクラウンは天然歯のように光透過性が高く、透明感がある歯の色調が再現できる反面、土台の色も反映されるため支台歯の色調も十分に考慮する必要がある。今回のケースのように前歯の審美領域ではそれを踏まえた上でクラウンを製作することが求められるため、歯科技工士の技術によっても仕上がりが変わってくる。
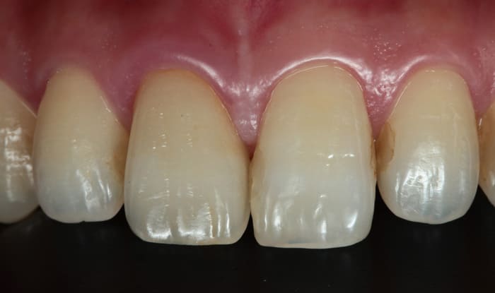
e.maxクラウン[4]
(右上前歯1番e.maxクラウン)
-

Before
-

After
-
- 主訴
- 前歯が折れた。被せ物と分からないですように治して欲しい。
-
- 治療期間
- 約4週間
-
- 治療費用
-
-
- セラミッククラウン
- ¥145,200(税込)
-
-
- 治療内容
- 歯の半分が破折した状態だったが、神経は抜く事なく温存し破折部を補強してセラミッククラウンを被せて治療を行なった。
周囲の天然歯と比較しても自然な仕上がりになっている。土台の歯質が少ないため、残りの部分でいかに維持力の高い形態を付与するかが、治療を成功させる上で重要になってくる。
関連料金表
| e.max(イーマックス)クラウン | 1本 | ¥145,200円(税込) |
|---|

執筆・監修者千早洋嗣院長
敬意と理解の心で、
あなたの声に耳を傾けます
当院では「何を求めているのか」「何に困っているのか」を丁寧にお聞きし、患者様お一人おひとりに寄り添った治療を心がけています。
安心して「また来たい」と思っていただけるよう、敬意と優しさを忘れずに、お口の健康をサポートいたします。










