ラミネートベニアとは

ラミネートベニアとは、歯の表面を 0.5 ミリくらい削り、その上に薄いセラミックを付け爪のように張り付ける方法です。
ラミネートベニア法の適応症としては、歯が黒ずんでいたり、前歯にすき間が空いている場合です。このような場合にはホワイトニングでは効果が期待できません。また、同時に歯の形も美しく変えられます。約 2,3 回の通院で仕上がります。
ラミネートベニアはセラミックでできているので、天然歯のエナメル質に近い硬さと強度を持っています。かなりの衝撃を受けない限り、まず欠けたりすることはありません。また変色や変質もなく天然歯に近い自然な色です。
ボンディング技術の向上
ラミネートベニアは従来、歯とセラミックの接着面のボンディングが不十分だったり、接着剤で接着してもすぐに取れてしまうなどの欠点があり、一般的に歯科医がなかなか手を付けにくい治療でした。しかし、最近はボンディング技術の向上や接着材の製品改良によりこれらの問題も解消されています。
ラミネートベニアの
メリットとデメリット
| メリット | デメリット |
|---|---|
|
|
ラミネートベニアのリスクと副作用
- 前歯の表面を薄く削る必要がある
- 強い力が加わったり、個人差により、ごく稀に割れたり外れたりする可能性がある
- 非常に薄いセラミックで作られているため、セラミッククラウン等と比べると強度が劣る
- 極度に強く変色している前歯には適用不可なことがある
ラミネートベニアのケース
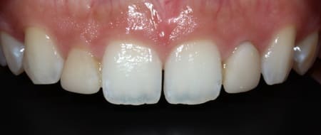
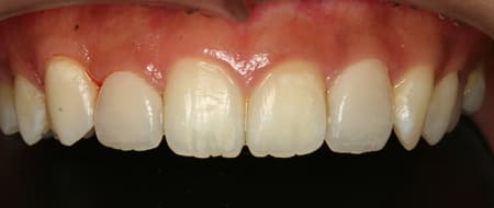
ラミネートベニア[1]
(前歯左右2番ラミネートべニア)
-
![ラミネートベニア[1]術前](images/laminate-veneer_case01be.jpg)
Before
-
![ラミネートベニア[1]術後](images/laminate-veneer_case01af.jpg)
After
-
- 主訴
- 左右2番目の歯の小さいのが気になる。綺麗に治して欲しい。
-
- 治療期間
- 約4週間
-
- 治療費用
-
-
- ラミネートベニア
- ¥121,000 × 2(税込)
-
-
- 治療内容
- 上顎2番は先天性の矮小歯のため周囲の歯と比較して歯冠が小さく、隙間も開いている状態であった。ラミネートベニアは歯のエナメル質に薄いセラミックを接着する手法のため、無麻酔で接着面の形態を整えてから型を採って作製し色調が調整出来るセメントで接着する。歯の表面のみの切削で済むため侵襲はとても少ないが、噛み合わせによっては脱離し易い可能性もある。
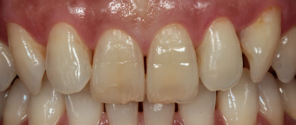
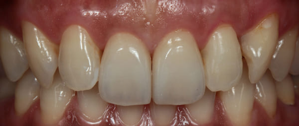
ラミネートベニア[2]
(前歯左右2番ラミネートべニア)
-
![ラミネートベニア[2]術前](images/laminate-veneer_case02be.jpg)
Before
-
![ラミネートベニア[2]術後](images/laminate-veneer_case02af.jpg)
After
-
- 主訴
- 左右2番目の歯が元から小さくベニアをしてもらったが、形が不自然なのと変色してきたので綺麗に治して欲しい。
-
- 治療期間
- 約4週間
-
- 治療費用
-
-
- ラミネートベニア
- ¥121,000 × 2(税込)
- + 技工士指名料
- ¥24,200 × 2(税込)
-
-
- 治療内容
- 上顎2番は先天性の矮小歯のためにベニアにて修復されていたが、プラスティック系の材料であったため経年的に変色・変質してしまうため、今回はセラミック系の材料で作製した。無麻酔下での形態修正後に型を採り、ラミネートベニアを接着した。歯の表面のみの切削で済むため侵襲はとても少ないが、噛み合わせによっては脱離し易い可能性もある。
ラミネートベニア[3]
(前歯左右1番ラミネートべニア)
-
![ラミネートベニア[3]正面術前](images/laminate-veneer_case03be.jpg)
Before
-
![ラミネートベニア[3]正面術後](images/laminate-veneer_case03af.jpg)
After
-
![ラミネートベニア[3]サイド術前](images/laminate-veneer_case04be.jpg)
Before
-
![ラミネートベニア[3]サイド術後](images/laminate-veneer_case04af.jpg)
After
-
- 主訴
- 前歯2本の色と周りの歯と比べて奥に引っ込んでいるのが気になる。綺麗にしたい。
-
- 治療期間
- 約4週間
-
- 治療費用
-
-
- ラミネートベニア
- ¥121,000 × 2(税込)
- + 技工士指名料
- ¥24,200 × 2(税込)
-
-
- 治療内容
- 上顎1番は左右とも内側に傾斜しており、それを改善するために外側に厚みを増す必要があったため歯の表面は全く削ることなく、上からラミネートベニアを接着することで審美性の改善を行なった。周囲の天然歯との色調、形態のバランスが取れた結果が得られている。歯を全く削らずに済むため侵襲は全くないが、噛み合わせによっては脱離し易い可能性もある。
関連料金表
| ラミネートベニア | 1本 | 121,000円(税込) |
|---|

執筆・監修者千早洋嗣院長
敬意と理解の心で、
あなたの声に耳を傾けます
当院では「何を求めているのか」「何に困っているのか」を丁寧にお聞きし、患者様お一人おひとりに寄り添った治療を心がけています。
安心して「また来たい」と思っていただけるよう、敬意と優しさを忘れずに、お口の健康をサポートいたします。










