患者様の意見も取り込み
プロフェッショナルな美しい歯に
千早デンタルクリニック調布では、審美歯科治療を行っていくうえで、治療した部位が分からないほどナチュラルな美しい仕上がりを目指すため、歯科技工士にもチェアサイドで立ち会ってもらい、色や形態を患者様とともに決めていきます。
-

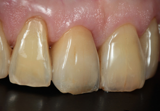
Before
-

After
左(治療途中)と右(治療後)の写真を比べながら見てみると、右の治療後の写真はどの歯を治療したのか分からないほど、周りの歯との調和が取れ、ナチュラルな仕上がりになっていると思います。
左のように治療した歯が一本だけ周りよりも白い歯で治療が終わりとなっていたらどうでしょう?
せっかく治療したのに逆に目立ってしまい違和感があるのではないでしょうか。
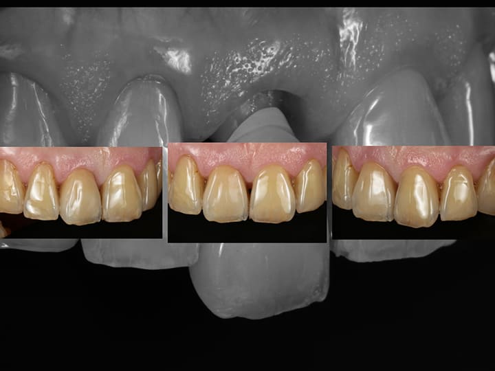
1本の歯に込めた匠のこだわり
1本の歯でもエリアによって材質や表面性状を変えることがあります。
これは見える部位の表面性状、色彩、形をつくる部分と、歯の根本の方の歯ぐきと重なり合う部位の歯肉の形態、歯肉との相性など、1本の歯の中でも部位によって違うからです。
また、外側のセラミック部分と内側のコア部分にも、細部にわたり匠の技術を用いています。
まず、歯型の模型をデジタルスキャンして、内側のコア部分であるジルコニアのフレームを作っていきます。
出来上がった内側のジルコニアフレームの上に、セラミックを焼き付けて色や形態、表面性状を作っていきます。
より自然な歯に見えるよう、周りの歯と色調を合わせながら、内側のジルコニアフレームと外側のセラミックの色彩のバランスを整えていき、透明感のあるナチュラルでプロフェッショナルな美しい歯を作り込んでいきます。

このような細部までに至るノウハウと技術は、院長の日々の研鑽と一緒に組む歯科技工士との共同作業からなるものですので、他院とは一線を画する審美歯科治療となっています。

また、セラミックの表面には金属と比較してプラークが付着しにくいため、歯肉と接する部位に炎症を起こしにくく、天然歯と同じくらい良い状態で保てるのがメリットとなりますので、美しさとメタルフリーを加味して、セラミックによる審美治療を当院では積極的におすすめしております。

執筆・監修者千早洋嗣院長
敬意と理解の心で、
あなたの声に耳を傾けます
当院では「何を求めているのか」「何に困っているのか」を丁寧にお聞きし、患者様お一人おひとりに寄り添った治療を心がけています。
安心して「また来たい」と思っていただけるよう、敬意と優しさを忘れずに、お口の健康をサポートいたします。






















