ジルコニアとは

ジルコニア(酸化ジルコニウム)は、軽く、とても丈夫なセラミックです。耐久性もあることから、スペースシャトルの外壁にも使用されています。
また、歯科で使用されるジルコニアはダイアモンド類似石としても用いられるジルコン人造ダイアモンドと同じ元素なので、高い強さと美しさを持つ素材です。
そして、このジルコニアは私たちの身体にとても優しい(生体親和性が高い)ので、アレルギーもほとんどありません。これは人工関節にも使われていることからもわかります。
生体親和性とは
生体親和性(Bio-compatibility)とは、生体の骨格となる骨、歯、軟骨、関節などに代わって体内とは別の素材が埋め込まれても、生体になじみ適合することです。
歯科の世界では生体親和性のあるセラミックの素材が中心に多く利用されています。歯や骨はハイドロキシアパタイトなどの無機成分によって構成されており、これと同じ成分を持ち合わせるセラミックは最適な材料として利用されています。
ジルコニアはこの生体親和性が高いので、より高品質な審美歯科素材です。
ジルコニアクラウンをおススメする理由
人工ダイヤモンドとも呼ばれる「ジルコニア」から生まれた「ジルコニアクラウン」は、審美歯科領域で要求される “美しく” “強く” “軽く” “優しく” という要件を満たすプレミアムなセラミッククラウンです。
Beautiful・美しい - ナチュラルな笑顔に
ジルコニアは白く透過性があるため、見た日がとても美しくかつ自然な感じの歯の色調を再現できます。ジルコニアクラウンでナチュラルな笑顔を手に入れましょう。
Strong・強く - 丈夫という安心
近年、金属アレルギーの心配がないセラミックを使用した歯科治療が注目されています。ジルコニアはそんなセラミックの中でも群を抜いて強度が高く、おロの中の様々な状況にも耐えられる硬さを持ち、とても丈夫です。
Light・軽く - 自然な噛み心地
ジルコニアは、一般歯科治療で主に使用される"金"の含有量が多い金属に比べ、重量が約3分の1と軽量です。お口の中をブリッジ治療で行ったとしても違和感も無く、白然な"噛むカ"を回復してくれます。
Friendly・優しく - 身体に優しい
ジルコニアは、人工関節としても使用されるほど人間の体に優しい材料です。この材料を審美歯科治療で使用すると、金属イオンの流出がなくなり、アレルギーの心配が軽減されます。つまりメタルフリーでより自然な口腔内環境を作り出せます。長い間お口の中で使用するものですから、自然に近く体に優しい、安心できる素材を使った方がいいですよね。こんな理由から当院では、お奨めしています。
ジルコニアクラウンの
メリットとデメリット
ジルコニアクラウンは、審美性や金属アレルギーのリスクがないというメリットがあります。しかしデメリットもあるものも事実です。ここではジルコニアクラウンのメリットとデメリットを紹介します。
| メリット | デメリット |
|---|---|
|
|
ジルコニアクラウンのリスクと副作用
- 個人差により、ごく稀に欠けたり壊れる可能性がある
- 事前に神経の処置(根管治療)や土台(コア)の処置が必要となることがある
- 治療中に一時的な咬合痛や冷温水痛、若干の歯肉の腫れ、発赤などを生じることがある
- 仮歯の時期には仮歯の脱離や破損の可能性、舌感などに違和感を感じることがある
ジルコニアクラウンのケース
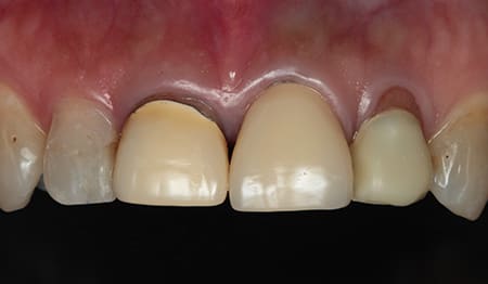
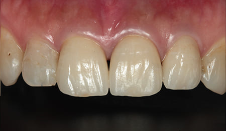
ジルコニアクラウン[1]
(前歯右1番・左1、2番ジルコニアクラウン)
+(前歯右2番ラミネートべニア)
-

Before
-

After
-
- 主訴
- 歯並びを治したい。歯と歯の隙間が開いてきたのも気になる。
-
- 治療期間
- 約8週間
-
- 治療費用
-
-
- ジルコニアクラウン
- ¥181,500(税込)
- + 技工士指名料
- ¥25,000(税込)
-
- ラミネートベニア
- ¥110,000(税込)
- + 技工士指名料
- ¥25,000(税込)
-
-
- 治療内容
- 全体的に歯周疾患の進行が認められ、歯肉の退縮により左上2番目の差し歯が不適合になっているのと隣の歯との隙間が空いてきていたため、まず歯周病の治療を優先的に行い歯肉を健康な状態に改善した。
その後、仮歯にて形態と歯肉・口唇とのバランス、さらに噛み合わせを調整し、歯並びを大幅に変える必要がある3本はジルコニアクラウンで、右上2番は形態と色の微調整のみで対応できたためラミネートベニアにて修復した。
ラミネートベニアは歯の表面を一層削るだけで済むため、クラウンに比べると侵襲はとても少ないが、削る量が少ない分大幅に歯並びを変える事ができないのと維持力が弱いため外れるクラウンに比べて外れる可能性が高い。
結果的には適材適所のマテリアルを用い、歯周治療を行って歯並びと歯肉の状態を大幅に改善できた。
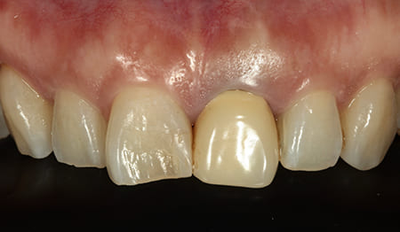
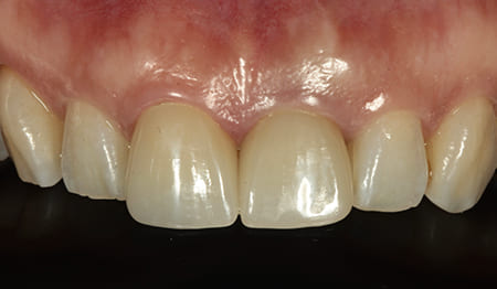
ジルコニアクラウン[2]
(前歯右2番ジルコニアクラウン)
+(デュアルホワイトニング)
-

Before
-

After
-
- 主訴
- 歯ぎしりで歯が削れてきたので綺麗な形にして欲しい。
-
- 治療期間
- 約6週間
-
- 治療費用
-
-
- ジルコニアクラウン
- ¥181,500(税込)
-
- + 技工士指名料
- ¥25,000(税込)
-
-
- 治療内容
- 歯ぎしりによる歯の摩耗で先端が削れて平らになっており、周囲の歯と比べて短い歯に見えた。
形態を審美的に改善するには摩耗した分を元の長さに戻す必要があったが、歯ぎしりによって下の歯が干渉してくることが懸念されたため、仮歯にて形態と噛み合わせを調整してからジルコニアクラウンを作製した。
審美的改善は得られたが歯ぎしりが強い場合、歯や歯周組織に様々な影響を及ぼすためクラウンが欠ける可能性を考慮して、予防処置としてマウスピースを使用して頂いている。
ジルコニアクラウン[3]
(前歯ジルコニア接着性ブリッジ)
-

Before
-

After
-
- 主訴
- 他院で前歯を抜歯した。出来るだけ他の歯を削らないで治して欲しい。
-
- 治療期間
- 約3週間
-
- 治療費用
-
-
- ジルコニアクラウン
- ¥181,500(税込)
-
- + 技工士指名料
- ¥25,000(税込)
-
-
- 治療内容
- 両隣の歯の内面を一層削って接着部を作製し、仮歯で歯肉の形態を反対側の歯とシンメトリーになるように調整した後に、ジルコニアを接着して審美的に歯冠を再現した。
歯を削る量が少なくかつ表からは見えない面で済む反面、ブリッジと比較すると噛み合わせによっては脱離しやすい欠点もある。
ジルコニアクラウン[4]
(前歯ジルコニアクラウン&ブリッジ)
-

Before
-

After
-
- 主訴
- 前歯を綺麗にして欲しい。
-
- 治療期間
- 約6週間
-
- 治療費用
-
-
- ジルコニアクラウン
- ¥181,500(税込)
-
- + 技工士指名料
- ¥25,000(税込)
-
-
- 治療内容
- 左上前歯の1、2番は金属のコアとフレームを使用したセラミッククラウンで治療されていたため、歯肉の黒変の原因にもなっていた。
メタルコアを除去してから根管治療を行い、併行して仮歯を使用して頂きながら審美性と形態、機能の調整を行った。その後、ファイバーコアにて築造しジルコニアクラウンを作製した。
ブリッジで治療を行う場合、今回のケースは2本の無髄歯(神経が無い歯)を土台にして3本分の歯を支えているため、噛み合わせや咬む力、歯の状態によっては土台になっている歯に負担がかかる場合がある。
ジルコニアクラウン[5]
(前歯右側2番ジルコニアクラウン)
-

Before
-

After
-
- 主訴
- 前歯の色を治して欲しい。
-
- 治療期間
- 約8週間
-
- 治療費用
-
-
- ジルコニアクラウン
- ¥181,500(税込)
-
-
- 治療内容
- 右上1番は以前打撲によって神経の処置をしてもらい徐々に黒く変色してきたとのこと。神経を抜いた歯は内部からの変色があるため、まずホワイトニングを行って可能な限り変色を取り除いた。
その後、ファイバーコアにて築造しジルコニアクラウンを作製した。
神経を抜いた歯のホワイトニングは、変色の度合いによって治療期間がかかる場合がある。
ジルコニアクラウン[6]
(前歯ジルコニアクラウン)
-

Before
-

After
-
- 主訴
- 前歯が折れた。
-
- 治療期間
- 約6週間
-
- 治療費用
-
-
- ジルコニアクラウン
- ¥181,500(税込)
- + 技工士指名料
- ¥25,000(税込)
-
-
- 治療内容
- 前歯が歯茎の中の深い位置で破折しており、通常の方法であれば抜歯をするか保存するのであれば部分矯正にて破折面を歯茎の上まで移動してからクラウンを被せる必要があるが期間も費用も掛かるため、今回は特別な方法で歯の位置を変えることなく、勿論抜歯することもなくジルコニアクラウンを被せて治療を行うことが出来た。
今回はいくつかの治療計画の中で最もシンプルかつ患者さんの負担が少ない方法で行うことが出来たが、その理論と方法をしっかりと熟知した技工士さんとのコミュニケーションが取れていないと成り立たない。
ジルコニアクラウン[7]
(前歯ジルコニアクラウン)
-

Before
-

After
-
- 主訴
- 前歯を綺麗に治したい。
-
- 治療期間
- 約8週間
-
- 治療費用
-
-
- ジルコニアクラウン
- ¥181,500(税込)
- + 技工士指名料
- ¥25,000(税込)
-
-
- 治療内容
- 右上1番のプラスチックの被せ物の変色と左右の歯肉ラインの不調和による審美障害が認められたため、まず既存のクラウンを除去して仮歯に移行した。その後、仮歯を用いて歯肉ラインの微調整を行い、左右対称で理想的な歯肉の形状が得られた後にジルコニアクラウン の製作に移った。
この歯肉を維持するためには、歯科医師と歯科技工士とが綿密にコミニュケーションを行い双方の理解が得られた上で初めて成り立つものである。
ジルコニアクラウン[8]
(右前歯1番・左前歯1,2,3番ジルコニアクラウン&ブリッジ)
-

Before
-

After
-
- 主訴
- 左上の犬歯が取れた。今回は綺麗に治して欲しい。
-
- 治療期間
- 約8週間
-
- 治療費用
-
-
- ジルコニアクラウン
- ¥181,500 × 4 = ¥660,000(税込)
- + 部分矯正
- ¥88,000(税込)
-
-
- 治療内容
- 左上の3番が土台ごと脱離しており、残存している歯質はほとんど歯肉の上には残っていない状態だった。また左上の2番が欠損で前歯2本を土台にしたブリッジ(①①2)が入っていたが、歯肉の退縮と左上2番の歯の不自然な形態により審美的な障害が生じていた。
まず左上3番の歯の維持力を高めるために部分矯正を行ってから右上1番を単冠、左上1番から3番をブリッジとした。
欠損している2番は歯が生えているように見せるために、歯肉の整形とブリッジが歯肉から立ち上がる部分の形態を整えて(オベイトポンティック)作製した。
結果的には審美的に満足いただけるものとなったが、この患者さんは元々歯肉が薄くて退縮しやすいため、それを防ぐようなブラッシングを継続していただく必要がある。
ジルコニアクラウン[9]
(左上前歯2番ジルコニアクラウン)
-

Before
-

After
-
- 主訴
- 被せ物が取れた。自分の歯のように綺麗に治して欲しい。
-
- 治療期間
- 約6週間
-
- 治療費用
-
-
- ジルコニアクラウン
- ¥181,500(税込)
- + 技工士指名料
- ¥25,000(税込)
-
-
- 治療内容
- 天然の歯と見分けが付かないように審美的にクラウンを被せるためには歯肉とのバランスも重要になってくる。今回は仮歯を用いて健康な歯肉を再現し、それに合わせてクラウンを製作した。周囲の天然歯の歯肉と同じようにジルコニアクラウンを取り囲む歯肉も安定していい状態である。
ジルコニアクラウン[10]
(左右上前歯2番ジルコニアクラウン&矯正治療)
-

Before
-

After
-
- 主訴
- 前歯を綺麗に治したい。
-
- 治療期間
- 約15週間
-
- 治療費用
-
-
- ジルコニアクラウン
- ¥181,500 × 2(税込)
-
- + 技工士指名料
- ¥25,000 × 2(税込)
-
- + 部分矯正
- ¥110,000(税込)
-
-
- 治療内容
- 左右1番の隙間が空いている(正中離開)のと、左右2番の不適合な充填跡による審美障害が見られたため、部分矯正によって正中のスペースを閉じた後に左右2番にジルコニアクラウンを被せる治療を行なった。
少しでも早い段階で審美障害を取り除くため、治療期間中の2番には仮歯を装着し、1番の歯の移動の応じて形態の調整を行なった。また前歯に矯正器具を付けるため、期間中は違和感もあるが透明な器具の使用によりあまり目立たずに行うことができた。
ジルコニアクラウン[11]
(右上2番ジルコニアクラウン、右上1,左上1,2番ジルコニアブリッジ)
-

Before
-

After
-
- 主訴
- 前歯の痛みと腫れが気になる。
-
- 治療期間
- 約12週間
-
- 治療費用
-
-
- ジルコニアクラウン
- ¥181,500(税込)
-
- ジルコニアブリッジ
- ¥181,500 × 3(税込)
-
-
- 治療内容
- 左上1番には保険適用のクラウンが装着されていたが、歯根破折により歯肉の腫れと痛みがあったため抜歯となった。その後、約8週間仮歯を使用して頂きながら歯茎の治癒を待ち、ジルコニアによるクラウンとブリッジを製作した。通常、抜歯した後の歯肉は垂直的にも退縮するため、右上1番に比べて左上1番の歯の長さが長くなりがちであるが、抜歯と同時に装着する仮歯に特殊な形態を付与することにより、歯とのバランスが取れた自然な歯茎の形を温存することが出来る。今回は仮歯の形態付与のみで審美的に満足頂ける結果が得られたが、元々の歯肉の厚みや抜歯前の炎症の状態によっては歯肉の形態を温存するために軟組織移植などの外科処置が必要になる場合もある。
ジルコニアクラウン[12]
(左上前歯1番・右上前歯1番 ジルコニアクラウン)
-

Before
-

After
-
- 主訴
- 前歯が折れた。
-
- 治療期間
- 約6週間
-
- 治療費用
-
-
- ジルコニアクラウン
- ¥181,500(税込)
-
- + 技工士指名料
- ¥25,000(税込)
-
-
- 治療内容
- 右上1番は根元から水平的に完全に破折していたため、それを除去すると同時にすぐに仮歯を作成して周囲の歯肉形態の温存を図った。その後、最終的なクラウンを製作するまでに根管治療とファイバーコアによる補強を行ったが、その間にいかに歯の周囲組織の環境=歯肉をいい状態で温存できるかが治療の成功を左右する重要な鍵になってくる。最終的には周囲組織に接する部分にはジルコニアが触れることによって元々の健康な組織の再生を促し、歯肉炎になりにくい環境を作り上げる。
ジルコニアクラウン[13]
(右上1番、左上2番ジルコニアクラウン)
+(左上1番デュアルホワイトニング)
-

Before
-

After
-
- 主訴
- 前歯を綺麗にして欲しい。
-
- 治療期間
- 約11週間
-
- 治療費用
-
-
- ジルコニアクラウン
- ¥181,500 × 2(税込)
-
- + 技工士指名料
- ¥25,000 × 2(税込)
-
- + デュアルホワイトニング
- ¥88,000(税込)
-
-
- 治療内容
- 右上1番、左上2番には保険適用のクラウンが装着されており色調の不調和と材料の変色が見られた。また左上1番の天然歯にも変色が認められたため、まずこの歯の色調をホワイトニングにて改善しそれに合わせてジルコニアクラウンを製作し審美的に改善した。
ホワイトニング後の歯の色調をクラウンで再現するには技工士の経験と技術に左右されることも多いが、天然歯のような自然感と明るい色調、透明感が再現されている。
ジルコニアクラウン[14]
(右上2,3番 ジルコニアクラウン単冠)
(左上2番は欠損で、右上前歯1番~左上前歯2番まで(①①2)ジルコニアクラウンブリッジ)
-

Before
-

After
-
- 主訴
- 前歯差し歯の色が不自然で気になる。綺麗に治して欲しい。
-
- 治療期間
- 約16週間
-
- 治療費用
-
-
- ジルコニアクラウン
- ¥181,500 × 2(税込)
-
- + ジルコニアブリッジ
- ¥181,500 × 3(税込)
-
- + 技工士指名料
- ¥25,000 × 5(税込)
-
-
- 治療内容
- 左上2番から右上3番までは色調、形態とも不自然なクラウンとブリッジが装着されていた。レントゲン診断により根幹治療も必要であったため、それと併行して仮歯を使用して頂きながら歯の形態や発音、口唇とのバランスなどを考慮して微調整を行なった。
その後、理想的な形態となった仮歯を元にしてジルコニアクラウンを製作した。術前に比べて術後は明るい色調で透明感がある自然な歯が再現されている。
ジルコニアクラウン[15]
(前歯の左右1,2番 ファイバーコア )
-

Before
-

After
-
- 主訴
- 前歯をセラミックで綺麗にしたい。
-
- 治療期間
- 約8週間
-
- 治療費用
-
-
- ジルコニアクラウン
- ¥181,500 × 4(税込)
-
- + ファイバーコア
- ¥24,200 × 4(税込)
-
- + 技工士指名料
- ¥25,000(税込)
-
-
- 治療内容
- 前歯の凹凸が著しいため、歯の神経を抜いて根管治療を行なった。
その後、最終的に綺麗に歯が並ぶ位置を想定してファイバーコアにて土台を作製し仮歯を使用して頂きながら患者さんの希望を踏まえた上で歯の審美性・機能性の微調整を行い調和が取れてからそれに合わせてジルコニアクラウンを作製した。
今回は神経を抜かざる負えなかったため、歯の強度を念頭にメインテナンスをする必要がある。
ジルコニアクラウン[16]
(前歯の左1,2番 右1番)画面上は逆となります。
-

Before
-

After
-
- 主訴
- 前歯の色と歯茎が上がってきて黒い部分が見えてきているのが気になる。
また右上の歯が重なっているのも治して欲しい。
-
- 治療期間
- 約8週間
-
- 治療費用
-
-
- ジルコニアクラウン
- ¥181,500 × 3(税込)
-
- + 技工士指名料
- ¥25,000 × 3(税込)
-
-
- 治療内容
- 左上の前歯には以前治療した治療したセラミックが入っていたが、歯の色調が不揃いで内部には金属のフレームが使用されていた材料のため歯茎の退縮により境目に黒く金属の露出も認められた。
また右上1番が捻転しており歯列不正も認められた。
それぞれの被せ物を除去すると同時に歯列も考慮した仮歯を装着し、それを使用しながら微調整を行って機能性と審美性を評価した。
その後、仮歯の形態を参考にしてジルコニアクラウンを製作し装着した。
歯列不正をセラミックで矯正する場合、噛み合う歯とのバランスを注視する事が重要となる。
ジルコニアクラウン[17]
(前歯の左1番 右1,2番)画面上は逆となります。
-

Before
-

After
-
- 主訴
- 歯と歯茎との隙間が黒くなってきて気になるので綺麗にかつ自然な感じで治して欲しい。
-
- 治療期間
- 約8週間
-
- 治療費用
-
-
- ジルコニアクラウン
- ¥181,500 × 3(税込)
-
- + 技工士指名料
- ¥25,000 × 3(税込)
-
-
- 治療内容
- 右上及び左上に1番はセラミック、右上2番は保険適用のレジンのクラウンが装着されていたが、ともにクラウンの内面にメタルのフレームが入っているため経年的な歯肉退縮により隙間が黒く見えてしまう。
クラウンを除去後、仮歯を使用しながら審美的・機能的評価を行い最終的なクラウンの製作を行った。
材質は強度が高いためメタルフレームが必要ないジルコニアを使用し、さらに将来的に予想される歯肉退縮への過補償を目的としてクラウンの境目を歯茎の中の深い位置に設定した。
セラミックと比較して費用面では高価だが、ジルコニアの方が材料学的なメリットも多い。
ジルコニアクラウン[18]
(前歯の左1,2番 右1,2番)画面上は逆となります。
-

Before
-

After
-
- 主訴
- 前歯を綺麗にして欲しい。
-
- 治療期間
- 約8週間
-
- 治療費用
-
-
- ジルコニアクラウン
- ¥181,500 × 4(税込)
-
- + 技工士指名料
- ¥25,000 × 4(税込)
-
- + デュアルホワイトニング
- ¥88,000(税込)
-
-
- 治療内容
- 左上1、2番には10年以上前の治療時に保険適用のクラウン、右上1、2番には虫歯部分を保険適用の樹脂にて充填されていたが、材質の経年劣化による変色歯肉退縮によるクラウンの不適合が生じ、審美障害が認められた。
既に神経がない歯の根管治療後に仮歯を作成し、それを使用して頂きながら審美的・機能的な改善を行うとともに、全額的な歯冠色の変色も認められたためホワイトニングを行なった。
その後、仮歯の形態を元にジルコニアクラウンの製作を行なった。
ホワイトニング後の歯の色調をクラウンで再現するには技工士の技術と経験に左右されるため製作者によってかなり仕上がりが変わって来てしまうが、天然歯の様な明るい色調と透明感が再現されている。
さらに歯牙に与える形態とジルコニアクラウンの良好な適合により調和が取れた健康な歯肉も再現出来ている。
ジルコニアクラウン[19]
(前歯の左1,2番 右1番)画面上は逆となります。
-

Before
-

After
-
- 主訴
- 前歯を綺麗にして欲しい。
-
- 治療期間
- 約8週間
-
- 治療費用
-
-
- ジルコニアクラウン
- ¥181,500 × 4(税込)
-
- + 技工士指名料
- ¥25,000 × 4(税込)
-
-
- 治療内容
- 上の前歯には10年以上前に装着した保険適用のクラウンが装着されており、経年劣化による変色と歯肉退縮による審美障害が認められた。
また神経を抜いたことによる歯根部の変色も認められた。レントゲンにて根先病巣がないことを確認した後にクラウンを除去して仮歯を装着した。
変色した歯根部の色をマスキングする必要があったため、材質はジルコニアを選択しクラウンと歯根部の境目が分からないよう歯茎の内部にマージンを設定した。
歯茎の内部組織は非常に繊細であるため、クラウンの形態と材質の選択がとても重要となる。
ジルコニアクラウン[20]
(前歯の左1番 右1番)画面上は逆となります。
-

Before
-

After
-
- 主訴
- 被せた歯の変色と反対の歯の先端の摩耗が気になる。
-
- 治療期間
- 約10週間
-
- 治療費用
-
-
- ジルコニアクラウン
- ¥181,500 × 2(税込)
-
- + 技工士指名料
- ¥25,000 × 2(税込)
-
-
- 治療内容
- 左上のクラウンを除去後に両側の前歯に仮歯を装着した。先端の摩耗は睡眠時の歯ぎしりが原因であった為、審美的かつ機能的な歯の長さを決定する上で仮歯の摩耗による形態の変化を指標にして患者さん・歯科技工士と相談しながら最終的なジルコニアクラウンを作製した。さらに周囲の天然歯がこれ以上摩耗することを防ぐことも考慮して、就寝時のマウスピースの装着を励行してもらう事とした。
関連料金表
| ジルコニアクラウン | 1本 | 181,500円(税込) |
|---|

執筆・監修者千早洋嗣院長
敬意と理解の心で、
あなたの声に耳を傾けます
当院では「何を求めているのか」「何に困っているのか」を丁寧にお聞きし、患者様お一人おひとりに寄り添った治療を心がけています。
安心して「また来たい」と思っていただけるよう、敬意と優しさを忘れずに、お口の健康をサポートいたします。










